15 Effective Natural Remedies to Get Rid of Skin Rashes Easily

Some links in this article are affiliate links. We may earn a small commission if you make a purchase through these links, at no extra cost to you. We only recommend products we find useful to our readers
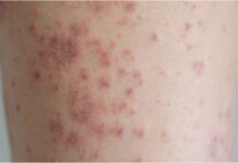
Skin Rashes
ImageSource: www.thrfun.com

Itching! Irritation! Redness! Oh, Did I mention Itching? Skin Rashes can be a completely disastrous situation, even worse, if they decide on affecting intimate parts of your body, right? The incessant urge to itch only to make the situation even worse is something that makes the condition further drastic and out of measure.

More often than not, more or less, every human being on this planet has experienced the onslaught of these pesky irritating buggers once or multiple times in their lives. And god forbid if its suffer, then you are gone for good.

In this article, we are going to be discussing about the common and effective natural remedies for skin rashes that will help heal it and relieve you from the pain and irritation that accompanies this situation.

What is a Skin Rash?

What is a Skin Rash
ImageSource: www.drmortons.co.uk

Skin rash is a condition which is characterized by the changes in the appearance and texture of the skin from normal to rough, scaled and red with blister like formations in certain places. It is primarily the changes that occurs on the upper layer of the skin and imbibes excessive irritation in the person suffering from it.

Types of Skin Rashes and their causes

Types of Skin Rashes and their causesNow that we have come around to this specific section of the article, let us delve into the common causes and the types of skin rashes that we, for the most part, tend to generalize and know nothing about.

1. Contact Dermatitis

This specific type of skin rash is the kind which is caused when the skin comes in contact with a foreign particle which ends up causing a reaction or allergy on the skin. This is exactly what ends up forming redness, blisters and dryness of the skin where it is affected. For the most part, these are either caused by bugs and insects or even some chemicals that left behind negative implications on the skin.

Some of the common agents that contribute to contact dermatitis include:

  • Allergic reactions to makeup products, soaps or even detergents
  • Dyes used in the clothes
  • Chemicals like rubber, latex or even elastic
  • Coming in contact with poisonous plants like poison ivy, poison oak etc.

2. Skin Rashes Due to Medications

While you may not deem it necessary or important, there actually are a number of medications which does contribute to skin rashes. There is a difference as to why the medication could possibly be causing a reaction that’s reflected on the skin but some of the primary causes behind the same include:

  • An allergic reaction to the consumed medication, it can either be in the form of skin rashes or something even contribute to inflammation
  • It can be because of a side effect of the medicine
  • Even the photosensitivity of the medicine contribute to the formation of skin rashes

3. Skin Rashes Due to Bug Bites

This is possibly one of the most common and witnessed types and causes of skin rashes. Bugs, fleas and types of organisms in this specific family can bite on the skin and leave behind chemicals that later develop into an allergic reaction on the skin, hence causing skin rashes which can be characterized by itching, irritation, redness and sometimes even inflammation in certain parts of the bite.

4. Atopic Dermatitis

Skin rashes because of the skin diseases are a common phenomenon. Atopic dermatitis, otherwise commonly known as eczema, is one of them. While there is not much reason as to why this happens, it is predominantly witnessed in patients who suffer from signs and symptoms of asthma. The skin rash often appears as red and scaly because of the dry skin in the affected area.

5. Psoriasis

Yet another common type and cause of skin rashes is the skin disease Psoriasis. People suffering from this specific skin disease often have dry and scaly skin which has redness and is accompanied with itchiness for the most part.

6. Lupus Disease

This is not a very common reasoning behind the common day to day skin rashes that you often come across. This is an autoimmune disease which is characterized by rashes on the cheeks and nose. The kind of skin rash that is witnessed in patients suffering from Lupus disease is known as the butterfly or malar rash.

7. Skin Rashes Due to Ringworm

This is yet another possibly cause and type of skin rashes that is witnessed in a number of people. It is a fungal infection that causes irritation, redness and constant itchiness in the affected part. Because of the fact that it is a fungal infection, it is communicable in nature and might be contracted from one person to the other via contact.

8. Diaper Rashes

This is the kind of skin rash that is predominantly witnessed in small babies who wear diapers for longer and extended periods of time. If you are someone who is witnessing constant red angry blisters on your child’s bottoms, it is time to either be efficient about switching the diapers on time to simply just ensure that the child doesn’t stay in a dirty diaper for longer than 5-6 hours or so.

9. Cellulitis

Yet another form of skin infection that ends up categorizing as the skin rash is known as Cellulitis. The skin rash in this regard often times appears as red and swollen in the affected area and is often very tender and painful to even touch. It is necessary to treat the infection before the situation gets out of hand because leaving it untreated can inflict life-threatening implications.

10. Kawasaki Disease

This could also be categorized as one of the common reasons behind the development of skin rashes. It is a kind of rare disease in which the preliminary symptoms start off with skin rashes and fever which can then often lead up to aneurysm in the coronary artery, complicating the situation and projecting possible life risks as well.

Home Remedies for Skin Rashes

Home remedies for Skin RashesNow that we have more or less glanced through the common grounds of causes behind the skin rashes, let us delve into the easy yet very effective remedies for skin rashes that can help heal them and provide you with the relief from constant scratching and redness.

YouTube player

Check Out These Effective Remedies For Skin Rashes.

1. Cold Compress for Skin Rashes

Cold Compress for Skin RashesSkin rashes bring about the worst kind of irritation and itchiness that can leave you scratching your skin all throughout the day. Cold compress in cases like this works like magic. If your skin rash is primarily because of any kind of insect bites, poisonous plants or even because of the scorching heat, try and switch it up by using a cold compress.

It helps provide a soothing feeling to the irritated skin and brings down the redness and inflammation if any.

What to do?

  1. Fill a cold compress with some ice cubes and place it over the rash, placing and removing it from time to time.
  2. You can even wet a clean cloth in some cold ice water and place that over the rash and leave it on for 10 minutes.

Make sure that you don’t put the ice cubes directly on the rash and have some barrier in between.

2. Olive Oil for Skin Rashes

Olive Oil for Skin RashesOlive Oil is loaded with beneficial Vitamin E qualities (R) which have impactful effects in healing dry and rough skin much like what you witness in skin rashes. If you have been on the lookout for an effective cure for skin rashes that will help soothe the irritation (R) as well as promote skin rejuvenation and renewal, olive oil is possibly the best choice. It is also loaded with antioxidants which have an added bonus.

What to do?

  • Mix ½ teaspoon of honey and 1 teaspoon of olive oil and massage it onto the rash and leave it on. Repeat this 2-3 times daily
  • Alternatively, you can mix turmeric powder and olive oil and apply that paste on the skin rash. Wash it off after 10 minutes. Repeat this once daily.

3. Baking Soda for Skin Rashes

Baking Soda for Skin RashesBaking Soda is known for it’s antimicrobial (R) as well as anti-inflammatory (R) properties which work out perfectly to treat skin rashes effectively. If your skin rash is because of any kind of infections or bacterial attack, there are high chances that baking soda is the best remedy to heal a skin rash.

What to do?

  1. Mix 3-4 tablespoons of baking soda in a bowl of water
  2. Soak a cotton pad in it and apply it over the rash
  3. Leave it on
  4. Rinse it off with some normal water

4. Oatmeal bath for Skin Rash

Oatmeal bath for Skin Rash
ImageSource: www.findatopdoc.com

Oatmeal bath might not seem something very effective on the first go but trust me when I say this; it actually is very effective in alleviating the conditions related to skin rash. The skin healing as well as anti-inflammatory properties (R) of the oatmeal helps alleviate the problem as well as gets rid of the irritation (R) that often tends to make the skin feel and look worse (dry and scratchy).

Oatmeal bath is best for skin rashes caused by allergies, sunburn, poison ivy etc.

What to do?

  • Fill a bath and mix 1 cup of oatmeal in it
  • Soak your body, especially the area of the skin rash
  • Let it soak for 20 minutes

5. Aloe Vera for Skin Rashes

Aloe Vera for Skin RashesAloe Vera is a powerhouse of antibacterial (R), anti-inflammatory (R) as well as skin healing properties which is perfect in healing the skin scarring and scaling that is often witnessed in conditions of skin rashes. The application of aloe vera helps fight any kind of possible infection, all the while healing the rash and provide relief from the itchiness and irritation that accompanies it.

What to do?

  • Cut an aloe vera leaf and scoop the pulp out of the leaf
  • Make a smooth paste of it
  • Apply it over the skin rash and leave it on
  • Do this multiple times throughout the day
  • Alternatively, if you don’t have access to aloe vera plant, use the over the counter aloe vera gel instead

6. Apple Cider Vinegar for Skin Rashes

Apple Cider Vinegar for Skin Rashes
ImageSource: www.healthline.com

Apple Cider Vinegar is known for its efficacy in the treatment of skin problems, primarily for something that’s caused by irritation or even infection. Skin rashes, as mentioned before, can be because of a number of reasons and if you are here worrying what to do to get rid of skin rashes, apple cider vinegar is possibly one of the best natural remedies. The antibacterial (R) as well as anti-inflammatory (R) properties aid in curing the rashes and heal the skin from within.

What to do?

  1. Mix 2-3 tablespoons of apple cider vinegar and equal amounts of water in a bowl
  2. Soak a cotton pad in it and dab it over the skin rash
  3. Leave it on for 10 minutes
  4. Wash it off with some normal water
  5. Repeat this 2-3 times a day for effective results

7. Neem Leaves for Skin Rashes

Neem Leaves for Skin RashesNeem and its imprint on the aspect of skin healing and skin disease treatment is definitely incomparable. It has effective antimicrobial (R), analgesic (R), anti-inflammatory (R) as well as skin healing properties which are very beneficial in the treatment of skin rashes. It helps provide you with a soothing feeling and brings down the persistent itching that is very bothersome.

What to do?

  • Fill a pot with some water and bring it to a boil
  • Put a handful of Neem leaves in that and boil it
  • Let the concoction seep and take it off the heat
  • Cool the mixture and strain it
  • Store it in a spray bottle
  • For application, wet a cotton pad and dab it on the skin rashes
  • Do this multiple times throughout the day for effective results

8. Coconut Oil for Skin Rashes

Coconut Oil for Skin RashesCoconut Oil has a myriad of benefits (R) when it comes to skin healing and treatment of skin diseases. It is believed to not just hydrate and moisturize the skin but also helps in reducing the inflammation as well as gets rid of the constant itchiness and redness that is present in a skin rash.

If you want to cure rashes naturally, there is possibly nothing better than coconut oil.

What to do?

  • Apply some coconut oil over the skin rash
  • With gentle fingers, massage it into the skin and let it seep it
  • Repeat this 3-4 times daily

9. Calamine Lotion for Skin Rashes

Calamine Lotion for Skin RashesCalamine lotion is a mixture of zinc oxide and a number of other components which is believed to provide you with amazing benefits when it comes to skin rashes and skin irritation. The only downside with calamine lotion is the fact that there are possibilities that you might be allergic to it. In order to check the same, ensure that you do a patch test before applying it on the rash.

The lotion helps moisturize the area, soothe the irritation and itching and helps in the renewed growth of the dead and dry skin in the area.

What to do?

  1. Take some calamine lotion on your fingers
  2. Apply it over the skin rash and let it seep into the skin
  3. Repeat this 3-4 times daily for effective results

10. Cocoa Butter for Skin Rashes

Cocoa Butter for Skin RashesCocoa butter (R) is possibly one of the most commonly used remedies to relieve skin rashes. The moisturizing effects because of the presence of fatty acids in it helps in getting rid of the dryness on the skin and also in healing the dead skin cells in the area. Not just that, it also helps tone down the irritation and itching that often accompanies the skin rash.

What to do?

  1. Melt some cocoa butter and store it in a jar
  2. Run your fingers in that and apply it on the affected area of the skin rash
  3. Leave it on and let it seep into the skin
  4. Repeat this multiple times throughout the day

11. Epsom Salt Bath for Skin Rashes

Epsom Salt Bath for Skin Rashes
ImageSource: www.shape.com

Soaking in a bathtub of Epsom salt water (R) helps in fighting off any signs of inflammation and possible infection that could be behind the skin rashes. The Epsom salt helps in improving the functions of the muscles and also enhances the blood circulation throughout the body which is yet another amazing reason that helps cure rashes naturally.

What to do?

  1. Fill a bathtub with water
  2. Add a cup of Epsom salt in it and let it dissolve completely
  3. Soak your body in the bath for 15 minutes
  4. Wash off the excess salt off the body by standing under the shower for 2 minutes
  5. Repeat this once every other day for effective results

12. Essential Oils for Skin Rashes

Essential Oils for Skin RashesEssential oils are not just vividly known for their beneficial contribution to healing but also help in the complete getting rid of any form of possible underlying causes for the skin rashes – be it infection or even any form of skin disease. If you have been consistently suffering from traces of skin diseases that has brought about skin rashes, it is best to switch to some of the effective essential oils that helps heal skin rashes naturally.

Some of the effective essential oils for skin rash include:

  • Tea tree Oil
  • Lavender Oil
  • Peppermint Oil
  • Eucalyptus Oil
  • Lemon Oil
  • Frankincense Oil
  • Chamomile Oil

What to do?

  1. Mix a few drops of the essential oil with some carrier oil
  2. Apply this on the skin rash and massage it into the skin
  3. Leave it on
  4. Repeat this 2-3 times daily

13. Chamomile tea for Skin Rashes

Chamomile tea for Skin RashesChamomile (R) has beneficial effects in treating skin rashes and the accessory symptoms that come along with it. Because of the presence of effective antimicrobial, anti-inflammatory as well as the anti-irritant properties, this works best in not just healing the irritation and itching but also helps relieve the inflammation that often comes along with skin rashes.

What to do?

  1. Soak some chamomile tea bags in hot water and let the same happen for 5 minutes
  2. Put the soaked teabags in the refrigerator
  3. Apply this on the rash for a few minutes
  4. Repeat this 2-3 times daily

14. Activated Charcoal for Skin Rashes

Activated Charcoal for Skin Rashes
ImageSource: www.rd.com

Activated charcoal has amazing properties in drawing out dirt, bacteria or even the harmful toxins out of the body. The topical application of activated charcoal helps clean the affected area of the skin rash and aids in getting rid of the harmful substances in the body. This is effective in situations where the person is suffering from skin rashes because of any form of microbial infection or such.

It is also very effective in treating skin rashes that occur because of bug or other insect bites.

What to do?

  1. Mix 2 tablespoons of coconut oil, 2 tablespoons of aloe vera gel and 2 tablespoons of charcoal powder
  2. Mix it all together to make a smooth paste
  3. Apply this over the rash and rub it in with gentle fingers to get rid of the dirt and dead skin and to exfoliate the area
  4. Wash it off with some water and apply some moisturizer
  5. Repeat this once daily

15. Honey for Skin Rashes

Honey for Skin RashesHoney has antibacterial, anti-inflammatory as well as emollient properties that play a pivotal role in curing the skin rashes. The moisturizing and skin healing properties of the honey also plays a very crucial role in this regard.

What to do?

  1. Apply some raw honey on the affected area of the skin rash and leave it on for 15 minutes till it has seeped into the skin. Wash it off after that and repeat this once daily for effective results.
  2. Alternatively, you can make a paste using honey and turmeric powder and apply this over the affected area of the skin rash. Leave it on for 10 minutes and wash it off with some water. Repeat this once every day till the rashes heal completely.

Skin rashes and the treatment of it is not rocket science. Much like every other skin disease, even this has a vast number of natural remedies that actually help it from within without exerting any kind of negative impacts on the skin. I hope these above mentioned remedies will come in handy for you and actually help heal the problems related to skin itching and rashes.

AI Contribution

At HealthSpectra, we may use AI to refine grammar and structure, but every piece is shaped, checked, and approved by real people, our expert writers and editors, to ensure clarity, credibility, and care. Learn more..

Medical Disclaimer for HealthSpectra.com

The information provided on HealthSpectra.com is intended for general informational purposes only. It is not intended as a substitute for professional medical advice, diagnosis, or treatment. Always seek the advice of your physician or other qualified health care provider with any questions you may have regarding a medical condition. Never disregard professional medical advice or delay in seeking it because of something you have read on HealthSpectra.com. Read more..
Previous article26 Natural Remedies for Varicose Veins That Actually Work
Next article11 Home Remedies To Soothe Sensitive Teeth Effectively
Somapika Dutta is a content developer who writes to express. She is an avid dog lover and an intrigued soul who likes to appreciate every minute existence. Touted as an introvert, she still prefers to explore things around and find inspiration in the simplest of occurrences that drive her to cultivate her capabilities further.